- 치주염보다 빠르고 파괴적인 공포의 임플란트 주위염!
- 심는 것보다 제거가 더 어려운 임플란트. 그 이유는?
- 소중한 임플란트 오래오래 튼튼하게 사용하는 법!
- 치주과 명의 김영택 교수, 보철과 명의 윤준호 교수가 알려주는 임플란트 주위염의 원인과 관리법

20세기 최고의 발명품이라 불리는 임플란트. 튼튼하고 자연 치아와 모양도 유사해 치아로 고생하는 많은 사람에게 희망이 되어 줬다. 하지만 방치하면 힘들게 심은 임플란트를 제거하는 것은 물론 잇몸과 뼈를 잃을 수 있다.
바로 임플란트 주위에 생긴 염증 때문이다. 잇몸은 물론 뼈까지 녹이는 공포의 임플란트 주위염! 심각해질 때까지 증상을 느끼지 못해 더 무섭다는데… 과연 무엇이 임플란트 주위염을 유발하는 것일까?
소중한 임플란트 오래오래 영원한 친구로 남기 위해 어떻게 예방하고 관리해야 할까? EBS 명의 <방치하면 빠진다? - 공포의 임플란트 주위염> 편에서는 치주과 명의 김영택 교수와 보철과 명의 윤준호 교수와 함께 임플란트 주위염의 원인과 임플란트 관리법 등을 명쾌하게 알아본다.

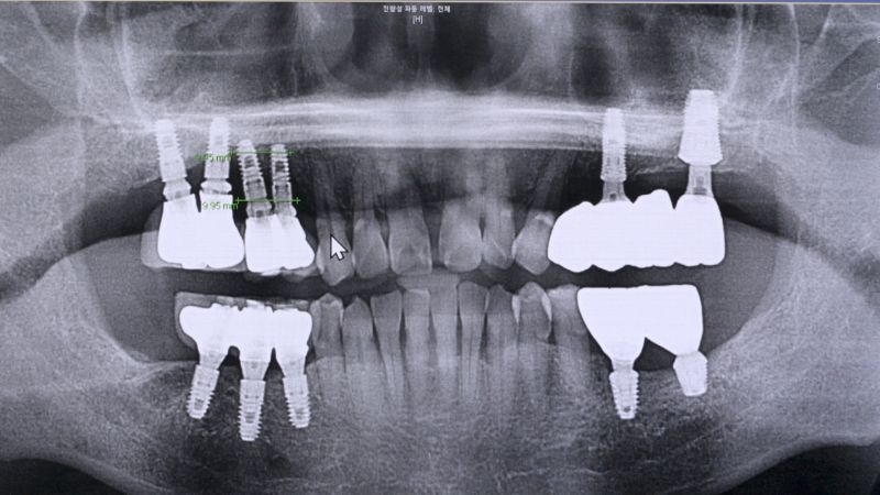
임플란트란 소실된 치아 자리에 티타늄 나사못을 심고 보철물을 얹어 치아 기능을 회복시키는 치료법이다. 임플란트는 금속 소재이기 때문에 충치가 생기지는 않는다고 알려졌지만 그렇다고 해서 문제가 없는 것은 아니다. 치주염이 생기듯 임플란트 주위 잇몸에 염증이 발생할 수 있기 때문이다. 임플란트 주위 잇몸에 염증이 발생하면 구취, 출혈을 유발하고 잇몸과 치조골의 손상을 불러오는데 이를 임플란트 주위염이라고 한다.
착잡한 얼굴로 병원을 찾은 70대 남성. 남성은 10여 년 전 상악에 심은 임플란트 대부분을 제거하고 남은 한 개로 임플란트 틀니를 사용하고 있었다. 하지만 그마저도 염증이 발생해 더 이상 사용이 어려워졌다. 남성은 임플란트 재식립을 원하지만 염증으로 치조골이 심각하게 녹아 재식립이 어려운 상황. 결국 남은 선택지는 틀니밖에 없었다.
임플란트 식립의 가장 중요한 조건은 충분한 양의 치조골이다. 그런데 임플란트 주위염은 치주염보다 훨씬 더 진행 속도가 빠르며 치주조직과 뼈를 파괴적으로 손상시키기 때문에 조기에 치료하지 않으면 임플란트가 헐거워져 빠지게 되고, 그 이후 재식립도 할 수 없다.
그렇다면 왜 임플란트 주위염은 치주염보다 더 무서운 속도로 잇몸과 뼈를 손상시키는 것일까? 임플란트의 구조적 특징과 자연치아와의 차이 등을 명쾌하게 알아본다.

한 달 전부터 위쪽 어금니 임플란트에 통증을 느꼈다는 여성. 검사 결과 식립한 임플란트 고정체가 부러진 채 뼈에 박혀있는 상태였다. 실제로 통계에 따르면 임플란트 부작용 중에 나사 풀림과 파절이 약 49%로 1위를 차지한다.
임플란트의 나사가 풀리면 다시 조여주기만 하면 되지만 여성의 경우 나사가 잇몸에 고정된 채 부러져 제거하고 재식립 해야 하는 상황이다. 보철과 윤준호 교수는 임플란트를 제거하는 것은 임플란트를 식립하는 것보다 훨씬 어렵다고 말한다.
임플란트는 식립한 순간부터 주변 뼈와 유착이 이루어진다. 치주인대가 없이 나사못과 뼈가 바로 붙어 있기 때문에 제거 시 뼈 손상이 불가피하다. 따라서 신중하게 제거하지 않으면 상악동이 뚫리거나 하악의 경우 수많은 신경다발이 지나가기 때문에 신경 손상으로 마비, 통증 등을 유발할 수 있어 매우 신중해야 한다. 그렇다면 임플란트 제거술은 어떻게 진행되는 것일까? 임플란트 제거술과 나사 풀림과 파절이 발생하는 원인 및 임플란트를 망가트리는 습관 등을 자세히 알아본다.

3개월에 한 번 씩 정기검진을 받는다는 70대 남성. 하지만 불과 몇 년 전만 해도 치과를 자주 찾지 않았다는데… 그 결과는 끔찍했다. 식립한 임플란트 주위에 염증으로 잇몸이 녹아내린 것. 잇몸 일부를 잃고 나서야 관리의 소중함을 깨달았다는 남성. 실제로 많은 사람들이 임플란트를 식립하면 모두 끝이라고 생각한다.
하지만 임플란트는 자연치아와는 다른 구조적인 특징으로 더 많은 주의와 관심이 필요하다. 특히 임플란트 주위염은 통증이 없는 경우가 많아 정기검진을 통해 조기 발견하는 것이 매우 중요하다. 치주과 김영택 교수는 치과에 오는 것을 너무 두려워하지 말라고 당부한다. 보철과 윤준호 교수 역시 꾸준한 구강 관리와 정기검진이 소중한 임플란트를 지키는 법이라고 덧붙였다. 두 명의와 함께 치실, 치간 칫솔을 활용한 구강 관리법과 임플란트 주위염 치료 등 임플란트 건강하게 오래 사용하는 방법에 대해 알아본다.
EBS 명의 <방치하면 빠진다? - 공포의 임플란트 주위염> 편에서는 치주과 명의 김영택 교수와 보철과 명의 윤준호 교수와 함께 임플란트 주위염의 원인과 임플란트 관리법 등을 알아본다.